028 276 63808

info@causewaydental.com

dental implants north coast ireland

A Proven Way to Replace Missing Teeth

DENTAL BRIDGE

Custom made for you

Custom made bridges have been used for decades to fill gaps left by one or more missing teeth. These gaps can cause many problems including an improper “bite” and creating a breeding ground for bacteria that causes gum disease and tooth loss.

Bridges can be permanently attached to one or more teeth (or implants) surrounding the space. Sometimes, when a gap needs to be filled quickly we create a temporary bridge which can also serve to help us find the best shape for your final bridge.

There are many different types of bridges, including our CEREC system which allows us to create a new bridge in just one visit.

As always, we will help you choose the best solution for you, and your unique circumstances, that is long lasting and the least intrusive.

If you have questions about this or any of our other treatments, please call our friendly team on 028 276 63808 or email us here info@causewaydental.com


GET IN TOUCH

A Dental Bridge

Become a member and save

We offer membership plans to help you spread out the cost of your new bridge (View our membership plan )

VIEW TREATMENT FEES

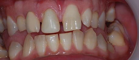
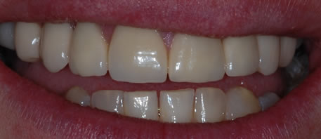
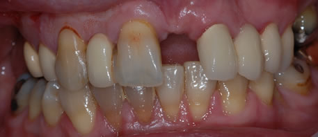
THE RESULTS

Before Treatment

dental implants northern ireland

After Treatment

dental implants northern ireland

Before Treatment

dental implants northern ireland

After Treatment

dental implants northern ireland

FIND OUT MORE ABOUT OUR BRIDGE TREATMENTS

FAQs & AFTERCARE ADVICE

MORE ABOUT OUR DENTAL BRIDGE TREATMENT

FAQs

We would love to help you through your dental bridge journey.

You can contact us on 028 276 63808
Or
email us here info@causewaydental.com
Or
you can fill in our online form at the bottom of this page. Just click the button below.

FILL IN OUR ONLINE FORM

HOW DO YOU FIT A BRIDGE?
When you come to Causeway Dental for a bridge fitting we will first take impressions of your teeth and do our best to match the shade of your bridge to your natural teeth. We will then use these impressions to create your custom made bridge. If you are being fitted with a traditional bridge you will need a follow up appointment to have your bridge permanently fitted.

WILL THE FITTING HURT?
Your dentist is highly trained and will do their very best to make the process as pain free as possible. That said, there is a chance you may experience a small amount of sensitivity for a few days but it will most likely go away very quickly.

ARE THERE BENEFITS OF BRIDGES V. DENTURES?
Yes, one of which is that bridges look and act more like natural teeth and are permanently fixed in your mouth, which makes it much easier to eat foods like fresh vegetables, fruit and crusty bread. They are also more comfortable, easier to clean, take up less space in your mouth, and are less likely to affect your speech.

Dentures, on the other hand, need to be removed daily to allow the gums and palate to ‘breathe’ to reduce the chances of disease and further tooth loss.

Advice for Aftercare
If you’ve been fitted with a temporary bridge here are a few things you should keep in mind before your new bridge is permanently in place:

Your temporary bridge should be comfortable, but you may need to eat softer foods and change your oral hygiene habits to make sure it stays in place between appointments.

Avoid chewing gum and eating sticky or hard foods.

Brush and floss carefully, and pull the floss out from the side so you won’t dislodge the temporary bridge.

It’s vital that your temporary bridge stays in place until your final bridge is ready to make sure it fits tightly in place. If it should come out before then please contact Causeway Dental so we can replace it immediately.

We will use local anaesthetic during the procedure and it will last for 3 -4 hours. We advise avoiding chewing food or consuming hot drinks until the numbness wears off so you don’t damage your cheeks, tongue or lips.

Note: Once the numbness wears off you may experience some sensitivity to hot and cold. This is normal and will normally go away once the final restoration is fitted.

GET IN TOUCH

Please fill in your details below and a member of our team will be in touch with you shortly. We look forward to seeing you soon.



OPENING HOURS

Monday
9am-5:30pm
Tuesday
9am-7:00pm
Wednesday
9am-5:30pm
Thursday
9am-5:30pm
Friday
9am-4:30pm

Become A Member Of Our Family

If you choose to become a regular Causeway Dental patient we offer a wonderful Membership Plan to make sure you get the most for your money.

MEMBERSHIP BENEFITS