028 276 63808

info@causewaydental.com

dental implants north coast ireland

Enhance Your Smile Simply and Beautifully

PORCELAIN VENEERS

Want to enhance your smile?

Porcelain veneers are an effective and simple way to enhance and create beautiful smiles in situations where there are small, oddly shaped, spaced or discoloured teeth by giving them a naturally looking white and consistent appearance.

The veneers are made from wafer thin porcelain that reflects light like a natural tooth and is stain resistant and very strong. We bond this piece of porcelain directly to the front of the tooth, almost like a false fingernail. To make sure you’re 100% satisfied, we involve you directly in the design process of reshaping, widening and brightening your smile.

In some cases, your dentist will place temporary bonding (2 -3 weeks) to protect your teeth while they create your smile blueprint.

VIEW TREATMENT FEES

Porcelain Veneers

Got a question about our veneers?

We have some FAQs below but please feel free to chat with one of our team if you would like to find out more.

028 276 63808 or email us here info@causewaydental.com


GET IN TOUCH

I just wish I had done it sooner


“All of my life I have had really bad looking teeth and it was purely for cosmetic reasons that I decided to have veneers. The work was carried out quickly and efficiently and the staff were so nice and helpful especially David who I saw for a consultation and he put me at ease and talked me through the full treatment plan.

The treatment has made such a difference to me, I am no long self conscious when I smile, I just wish I had done it sooner. I would recommend Causeway Dental to anyone considering dental implants or veneers, it will change your outlook. The staff and the whole experience where of the highest standard and I would definitely tell anyone considering it to go ahead, you won’t regret it.”


Teresa Kennedy

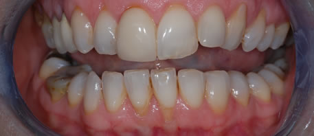
THE RESULTS

Before Treatment

veneers northern ireland

After Treatment

porcelain veneers northern ireland

Before Treatment

porcelain veneers northern ireland

After Treatment

veneers  northern ireland

FIND OUT MORE ABOUT OUR VENEERS TREATMENTS

FAQs & AFTERCARE ADVICE

MORE ABOUT OUR VENEERS TREATMENT

FAQs

We would love to help you through your veneers journey.

You can contact us on 028 276 63808
Or
email us here info@causewaydental.com
Or
you can fill in our online form at the bottom of this page. Just click the button below.

FILL IN OUR ONLINE FORM

HOW IS THE VENEER APPLIED?
To begin the treatment, we make impressions of your mouth and match the colour of the new veneer to that of your natural tooth. Alternatively we will select a whiter shade that you are aiming for if your veneers are part of a smile make-over process. We then remove a thin layer of enamel to allow the veneer to fit snugly to your tooth for a nearly invisible appearance.

HOW LONG WILL IT LAST?
When a veneer is applied by a skilled and experienced dentist such as a Causeway Dental professional, and you look after it properly through good oral hygiene and diet, there’s no real reason why your veneer shouldn’t last many years, if not a lifetime.

However, if your diet is high in fizzy drinks, sweets or other sugary treats, your teeth can still decay and your veneer may need to be replaced.

DOES THE TREATMENT HURT?
In our years of experience we find that most patients don’t feel a thing. Some patients, however, may experience a bit of sensitivity either during or right after the new veneers are applied, but it normally goes away on its own within a day or two.

Advice for Aftercare

  • Take care with hot food and drinks as your teeth and gums may be sensitive after being prepared for veneers.
  • Temporary veneers are only lightly bonded to your teeth so you will need to be careful while eating.
  • Cleaning around your temporary veneers is vital but remember to take care.
  • Your gums and teeth may be sensitive after your new veneers are applied but it will settle in just a few days.

GET IN TOUCH

Please fill in your details below and a member of our team will be in touch with you shortly. We look forward to seeing you soon.



OPENING HOURS

Monday
9am-5:30pm
Tuesday
9am-7:00pm
Wednesday
9am-5:30pm
Thursday
9am-5:30pm
Friday
9am-4:30pm

Become A Member Of Our Family

If you choose to become a regular Causeway Dental patient we offer a wonderful Membership Plan to make sure you get the most for your money.

MEMBERSHIP BENEFITS