028 276 63808

info@causewaydental.com

dental implants north coast ireland

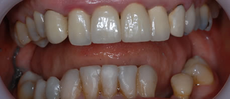
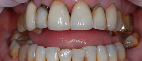
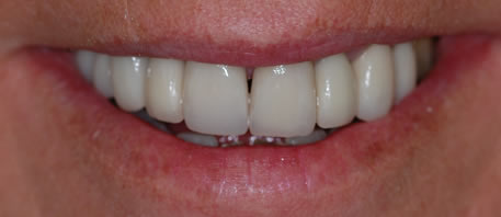
THE RESULTS

Before Treatment

dental implants northern ireland

After Treatment

dental implants northern ireland

Before Treatment

dental implants northern ireland

After Treatment

dental implants northern ireland

Before Treatment

dental implants northern ireland

After Treatment

dental implants northern ireland

FIND OUT MORE ABOUT OUR CROWN or CEREC TREATMENT

FAQs & AFTERCARE ADVICE

MORE ABOUT OUR CROWN TREATMENTS

FAQs

We would love to help you through your porcelain crown journey.

You can contact us on 028 276 63808
Or
email us here info@causewaydental.com
Or
you can fill in our online form at the bottom of this page. Just click the button below.

FILL IN OUR ONLINE FORM

DOES IT HURT TO GET A CROWN FITTED?
We use a local anesthetic during the procedure so you shouldn’t feel any pain at all. However, some patients may experience some slight sensitivity for a short time after the crown has been fitted but it should go away on its own in a few days time. You can also manage any discomfort with an over the counter painkiller such as paracetamol or ibuprofen.

HOW LONG WILL IT TAKE TO FIT MY CROWN?
Firstly we will book an appointment where we prep your tooth for the new crown. During this time we will take impressions of your teeth and match your shade to make sure the crown looks as much like your natural teeth as possible. Before you leave we will fit you with a temporary crown. Next we will call you back for a second appointment where we will permanently bond your custom made crown onto your tooth.

If you are having a CEREC system crown made, we can create and fit it in one sitting.

ARE CROWNS DIFFICULT TO CARE FOR?
Taking care of your new crown is as simple as looking after your own natural teeth. Regular brushing and flossing will keep the crown free from debris and the gums around it healthy. Occasionally, crowns may need a slight re-adjustment but otherwise it should look and feel strong and natural.

Advice for Aftercare
The temporary crown should be comfortable, but you may need to alter your eating and oral hygiene habits to ensure it stays in place between appointments. A softer diet may be needed.

This temporary material will be more prone to staining than natural teeth. You should avoid tea, coffee, red wine and curries.

Avoid chewing gum and eating sticky or hard foods. This may loosen the temporary crown.

Brush and floss carefully, pulling the floss out from the side so as not to dislodge the temporary crown.

It is vital that your temporary crown stays in place. If for any reason it should come off please contact the surgery to have it replaced.

The effects of local anaesthetic should last for 3 – 4 hours. To avoid damaging your cheeks, tongue and lips avoid chewing and taking any hot drinks until the numbness has worn off.

You may experience some sensitivity to hot and cold food and drink for a few days. This is normal and will subside once the final restoration is fitted.

GET IN TOUCH

Please fill in your details below and a member of our team will be in touch with you shortly. We look forward to seeing you soon.



OPENING HOURS

Monday
9am-5:30pm
Tuesday
9am-7:00pm
Wednesday
9am-5:30pm
Thursday
9am-5:30pm
Friday
9am-4:30pm

Become A Member Of Our Family

If you choose to become a regular Causeway Dental patient we offer a wonderful Membership Plan to make sure you get the most for your money.

MEMBERSHIP BENEFITS